黄兢姚

典型案例图

您所在的位置:首页 > 典型案例图
  首页 >> 典型案例图
放射粒子治疗肿瘤
放射粒子治疗肿瘤

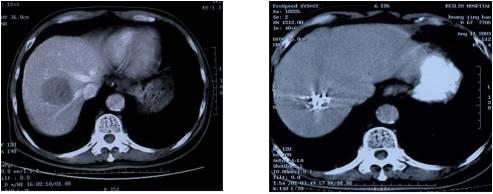
将碘-125放射性粒子植入肿瘤组织内,粒子所持续发出的低剂量射线能杀伤肿瘤干细胞,经过足够的剂量和半衰期,即可使肿瘤细胞全部失去繁殖能力,从而达到显著的治疗效果。该治疗方法具有精度高、创伤小和疗效肯定等优势,临床应用显示了广阔的前景。


               原发性肝癌治疗前                            放射粒子植入后肿瘤显著 缩小、灭活



                                 中央型肺癌                      放射粒子植入后                   肿瘤显著缩小、灭活


咨询服务热线:0591-83735858

地址:福州市台江区五一中路状元巷26号大院内1#楼2楼209单元

Copyright@2016 福建省医务工作者社会服务协会 版权所有